Hírek
2018. November 05. 09:54, hétfő |
Külföld
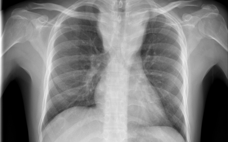
Forrás: mti - illusztráció
Tüdőrákban halt meg egy szervátültetett, aki egy erős dohányos tüdejét kapta meg
Tüdőrákban halt meg a transzplantáció után másfél évvel egy francia nő, akibe egy hajdan erős dohányos nő tüdejét ültették át.
A Lunc Cancer szakfolyóiratban megjelent tanulmány szerint az 57 évesen elhunyt donor 30 éven át napi egy doboz cigarettát szívott el.
A gyermekkora óta cisztás fibrózisban szenvedő páciens 2015 novemberében kapta meg a sokáig erősen dohányzó nő tüdejét, 2017 júniusában pedig bekerült a montpellier-i egyetemi klinikára, ahol két hónappal később elhunyt tüdőrákban, anélkül, hogy bármiféle terápiát alkalmazhattak volna nála. A tanulmány szerint a páciens a dohányzás okozta tüdőrák jellegzetes tüneteit mutatta.
A transzplantáció és a tüdő első rendellenességeinek röntgen általi észlelése közti rövid idő arra utal, hogy a tüdőrák már a donornál keletkezett, a szervkilökődés megakadályozására szedett immungyengítő gyógyszerek pedig csak felgyorsították a kifejlődését.
A tüdőrák hosszú lappangási idejére tekintettel a kutatók különleges elővigyázatosságot ajánlanak a dohányzó donoroktól származó szervek átültetésénél olyan esetekben, amikor a donor csak nem sokkal a transzplantáció előtt hagyott fel a dohányzással.
Ezek érdekelhetnek még
2026. Április 17. 10:00, péntek | Külföld
Donald Trump: tíznapos tűzszünetről állapodott meg Izrael és Libanon
Tíznapos tűzszünetről állapodott meg Izrael és Libanon - jelentette be Donald Trump amerikai elnök csütörtökön, miután egyeztetett a libanoni elnökkel és az izraeli miniszterelnökkel.
2026. Április 16. 17:00, csütörtök | Külföld
Iráni konfliktus - Donald Trump: nagyon közel van a konfliktus vége
Donald Trump szerint \"nagyon közel\" van, hogy lezáruljon az iráni konfliktus - az amerikai elnök erről a Fox Business gazdasági televíziónak adott, szerdán sugárzott interjúban beszélt.
2026. Április 15. 14:00, szerda | Külföld
Iráni konfliktus - Donald Trump: újabb tárgyalások lehetnek Iránnal a következő két nap folyamán
Donald Trump szerint újabb tárgyalások lehetnek Iránnal a \"következő két nap folyamán\" - az amerikai elnök kedden egy amerikai újságnak adott interjúban beszélt az iráni konfliktus fejleményeiről.
2026. Április 15. 11:00, szerda | Külföld
Zelenszkij: április végéig befejezik a Barátság kőolajvezeték javítását
Április végéig befejezik az ukrán szakemberek az orosz támadásban megrongálódott Barátság kőolajvezeték javítását

